레진(빌드업) - 당산 연세프라임치과 ㅣ 당산역 12번 출구, 선유도역 5번출구

Resin
레진(빌드업)
본연의 아름다움까지
디자인 합니다.
첫 번째

개개인 고유 이미지, 비율을
고려한 스마일 라인 디자인

두 번째

내 치아같이 자연스러운
모양, 색상, 광택

세 번째

인체 친화적인 안전한
재료 사용으로 안심

레진(빌드업)

충치나 파절로 인해 손상된 치아 부위를 단순히 채워 넣는 '떼우는' 개념이 아닌
원래 치아의 해부학적 구조를 최대한 유사하게 복원하는 '레진빌드업' 개념으로 치료합니다.

최선의 결과를 위해 방습을 위한 러버댐을 장착하고, 레진의 중합수축을 최소화하기 위한 polyethylene fiber 를 사용합니다.

장점 :
자연 치아를 최대한 정교하게 복원한다.
인레이 치료에 비해 치아 삭제량이 적어 보존적이다.
처음부터 끝까지 치과의사가 치료한다. (본뜨는 작업, 임시재료, 치과기공실을 거치지 않는다.)
내원 회수가 1번으로 당일에 치료가 끝난다.

단점 :
치료의 단계가 많고 치료에 필요한 시간이 길다.
치과의사가 들이는 노력과 시간이 비교적 크다.
비용이 비교적 높다.

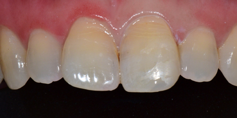
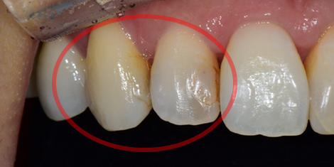
앞니 레진(빌드업)
  • 치아의 손상이 크지 않은 경우
  • 최소한의 치아 삭제를 원하는 경우
  • 치아의 전반적인 배열과 모양의 개선은 원치 않는 경우

앞니 치아 사이 공간

레진 수복

앞니 치아 사이 공간

레진 수복

앞니 충치, 마모

레진 수복

앞니 파절

레진 수복

앞니 레진 재치료

레진 수복

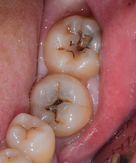
어금니 레진(빌드업)

어금니의 충치를 '레진빌드업' 방식으로 치료하기 원하신 분으로
최소한의 치아 삭제와 치료 단계를 거쳐 치아 외형을 복원

치료 전

러버댐 후

치료 후


오시는 길
  • 주소

    서울특별시 영등포구 선유동2로 74, 디모어빌딩 6층
    (당산역 12번 출구, 선유도역 5번 출구)

  • 진료시간
    • 월 수 금 오전 10시 ~ 오후 7시
    • 화 목 오전 10시 ~ 오후 8시 30분 (야간진료)
    • 점 심 시 간 오후 1시 ~ 오후 2시
    • 토 요 일 오전 10시 ~ 오후 2시 (점심시간 없음)
    • 휴 진 일요일 및 공휴일 휴진
  • 진료상담
    02-2679-2879